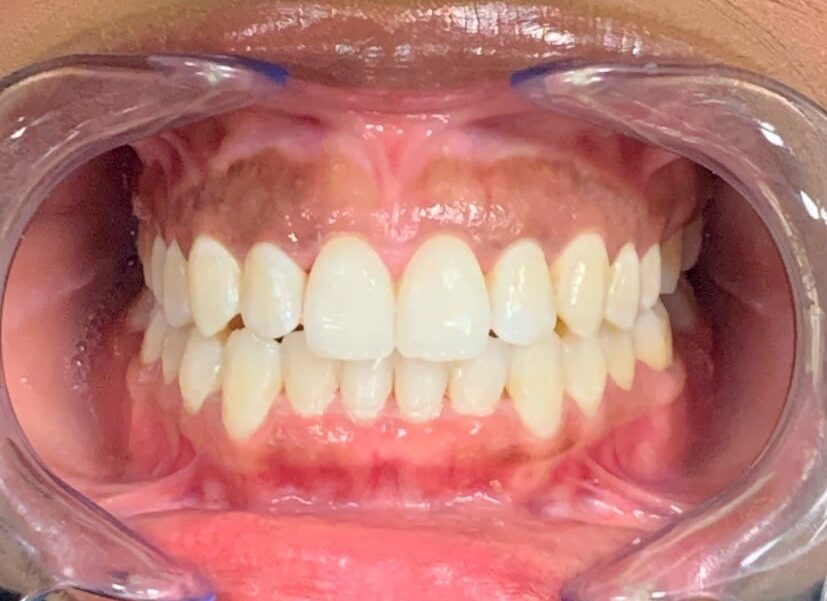
Ikram, 29 år, kände sig begränsad av osäkerheten kring sitt leende och valde att göra en tandregleringsbehandling hos Smajla.
Hej Ikram, vill du berätta varför du ville göra en tandregleringsbehandling?
Jag har alltid känt mig obekväm med mitt leende. Det kändes som det påverkade mitt självförtroende. Jag försökte dölja mitt leende så gott det gick, men det var något som jag ständigt tänkte på. Till slut bestämde jag mig för att göra en tandregleringsbehandling, för jag ville inte längre känna mig begränsad av osäkerheten kring mitt leende. Det var dags att göra något för mig själv och känna mig bekväm och stolt över att le stort och fritt.
Vad fick dig att välja Smajla?
Jag valde Smajla för att de har ett fantastiskt rykte och verkligen får sina patienter att känna sig trygga och omhändertagna. Kliniken har en varm och välkomnande atmosfär, och personalen är otroligt professionell och lyhörd. Jag uppskattade deras tydliga information om behandlingsalternativ och deras moderna utrustning, vilket gav mig förtroende för att jag skulle få bästa möjliga vård. Dessutom hade jag hört mycket gott om deras resultat och hur de verkligen bryr sig om att skapa leenden som kunderna är stolta över. Det kändes som det självklara valet.
Hur var upplevelsen under konsultationen?
Under konsultationen kände jag mig verkligen väl omhändertagen. Josephine var fantastisk genom hela processen hon var lyhörd, pedagogisk och fick mig att känna mig bekväm direkt. Hon tog sig tid att förklara allt på ett sätt som var lätt att förstå och svarade på alla mina frågor med ett leende. Det märktes att hon verkligen brydde sig om att jag skulle känna mig trygg och nöjd med beslutet. Hela teamet var professionellt och vänligt, vilket gjorde upplevelsen både smidig och positiv. Jag kunde inte ha bett om en bättre start på min resa.
Hur upplevde du hela tandregleringsprocessen, från start till mål?
Hela tandregleringsprocessen har varit fantastisk från start till mål, och det är mycket tack vare Josephine. Hon har varit en stor trygghet genom hela resan alltid professionell, engagerad och med ett genuint leende som gjorde varje besök så positivt. Hon förklarade allt på ett tydligt sätt, fanns alltid där om jag hade frågor och såg till att jag kände mig bekväm vid varje steg i processen. Jag är otroligt nöjd med resultatet och hur smidig och välorganiserad hela behandlingen har varit.
Berätta om känslorna över att ett nytt leende är på plats?
Att ha ett nytt leende på plats känns helt fantastiskt! Jag känner mig så mycket mer självsäker och stolt över mitt leende. Det är en otrolig känsla att kunna le stort utan att känna någon osäkerhet. Resultatet är bättre än jag någonsin kunnat drömma om, och jag är så tacksam för hela processen som lett fram till detta. Mitt nya leende har verkligen förändrat hur jag ser på mig själv, och det gör mig så glad varje dag.
Hanny, 18 år, ville göra en tandregleringsbehandling på grund av problem med självförtroendet och har äntligen blivit klar med sig behandling hos oss på Smajla. Läs mer om Hannys resa nedan. Hej Hanny, vill du berätta varför du ville göra e…
Läs hela intervjun här
